Hallan fetos de gemelos dentro de una recién nacida en Hong Kong
HONG KONG. — Un equipo de doctores de Hong Kong ha descrito como un hecho médico extremadamente raro, lo que parece ser un par de fetos dentro del cuerpo de una bebé recién nacida. Los festos estaban ...

HONG KONG. — Un equipo de doctores de Hong Kong ha descrito como un hecho médico extremadamente raro, lo que parece ser un par de fetos dentro del cuerpo de una bebé recién nacida.
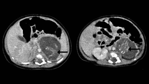
Los festos estaban unidos por cordones umbilicales en lo que parece ser una masa de placenta. Cada uno tenía cuatro miembros, piel, costillas, intestinos y tejido cerebral primitivo, de acuerdo con un estudio publicado este mes en el Hong Kong Medical Journal.
Fue una de “esas cosas raras que hacen que el mundo siga en pie”, aseguró el doctor Nicholas Chao, uno de los cirujanos que operaron a la bebé y quien dijo nunca había visto algo así durante su carrera en la pediatría.
La condición inusual, conocida como “feto en feto” se estima pase una vez en cada medio millón de nacimientos pero ha sido reportada menos de 200 veces a nivel mundial, de acuerdo con el estudio publicado por Chao y sus colegas.
La bebé pesó cuatro kilos y nació en noviembre de 2010, hija de una madre originaria de China. La pequeña se ha recuperado exitosamente de la operación, dijo Chao a CNN este martes.
Pero se desconoce del todo cómo terminaron los fetos dentro de la bebé y si pueden ser clasificados así. “Existe controversia respecto a qué es esto”, dijo, explicando que pueden ser considerados como otros fetos que estuvieron en festación o como un tipo de tumor conocido como teratoma.
En el caso de teratomas, la célula se divide y adquiere la madurez de los diferentes tejidos.
“Ambas teorías son sólidas”, dijo Chao, y no hay “suficientes datos científicos para probar de cuál se trata debido al número limitado de casos”. Aunque el caso hallado por él y sus colegas parece agregar peso al argumento de los fetos.
Las dos formas encontradas tenían diferentes pesos pero igual desarrollo de órganos, coincidente con un feto de 10 semanas de gestación. Tenían espinas dorsales y “genitales externos ambiguos”, aunque no contaban con cráneos.
La madre de la niña tuvo un ultrasonido normal durante el inicio de su embarazo, sugiriendo que los otros dos fetos “pueden haber sido pequeños fetos parásitos que habían crecido poco a poco” en la niña, según el estudio.
La masa de tejidos fue vista en un ultrasonido en la semana 37, y los hechos después de que la niña nació mostraban que la masa abarcaba dos centímetros entre su bazo y riñon izquierdo.
Los padres se mostraron sorprendidos sobre el diágnóstico, dijo Chao, pero la condición no pone en riesgo su vida y la operación salió bien, informó.
Los doctores, mientras tanto, tendrán que esperar para tener una idea clara de cómo se formaron los fetos misteriosos. “Necesitas varios de estos casos y mucha observaciones para tener más entendimiento científico”, explicó Chao.
CNN










